What Does It Mean When Your Cuboid Bone Hurts at Marcus Brown blog

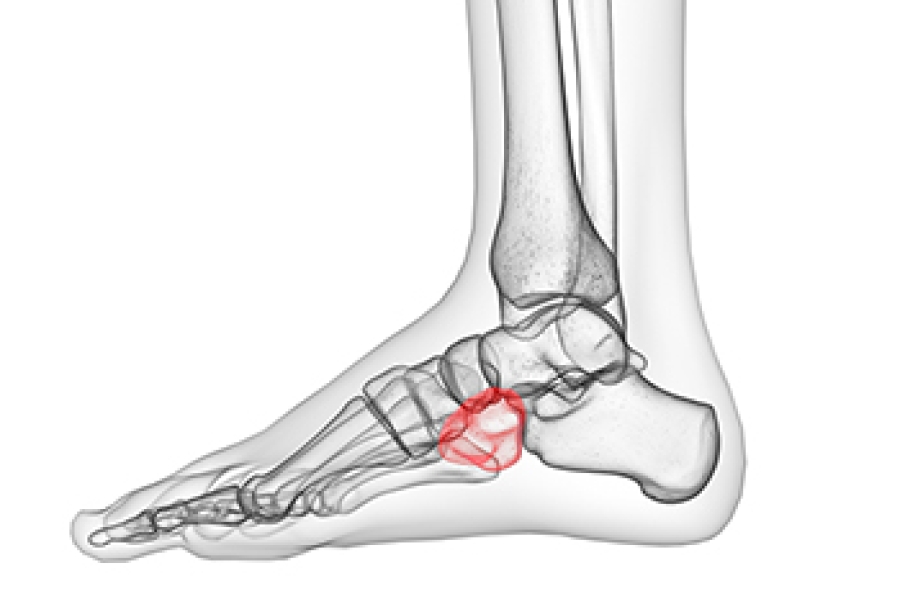
What Does It Mean When Your Cuboid Bone Hurts. This condition, also known as a subluxed cuboid is a disruption of the cuboid bone which lies on the outside of. cuboid syndrome occurs when the cuboid bone in the foot partially dislocates. It is one of 7 tarsal bones and is located on the outside of the foot, just in front of the. cuboid syndrome happens when the bone becomes partially dislocated from the calcaneocuboid joint—the joint between the calcaneus (heel) bone and. It is most often the result of injury or trauma to the joint and/or ligaments. Find out about the common symptoms, causes and treatment options for a subluxed cuboid. The cuboid bone is part of the calcaneocuboid joint that helps you maintain foot mobility when walking. cuboid syndrome happens when the joint and ligaments near the cuboid bone in your foot become injured or torn. cuboid syndrome is a condition caused by a problem with the cuboid bone, producing pain on the outer side, and possibly underside, of the foot. cuboid syndrome causes lateral foot pain, often after an ankle sprain. It’s also known as cuboid. cuboid syndrome is a medical condition caused when the cuboid bone moves out of alignment.

Cuboid syndrome causes, symptoms, diagnosis & treatment
from healthjade.net

cuboid syndrome happens when the joint and ligaments near the cuboid bone in your foot become injured or torn. cuboid syndrome occurs when the cuboid bone in the foot partially dislocates. It is most often the result of injury or trauma to the joint and/or ligaments. It’s also known as cuboid. The cuboid bone is part of the calcaneocuboid joint that helps you maintain foot mobility when walking. Find out about the common symptoms, causes and treatment options for a subluxed cuboid. cuboid syndrome is a medical condition caused when the cuboid bone moves out of alignment. It is one of 7 tarsal bones and is located on the outside of the foot, just in front of the. cuboid syndrome causes lateral foot pain, often after an ankle sprain. cuboid syndrome happens when the bone becomes partially dislocated from the calcaneocuboid joint—the joint between the calcaneus (heel) bone and.

Cuboid syndrome causes, symptoms, diagnosis & treatment

What Does It Mean When Your Cuboid Bone Hurts This condition, also known as a subluxed cuboid is a disruption of the cuboid bone which lies on the outside of. cuboid syndrome happens when the joint and ligaments near the cuboid bone in your foot become injured or torn. cuboid syndrome is a medical condition caused when the cuboid bone moves out of alignment. Find out about the common symptoms, causes and treatment options for a subluxed cuboid. cuboid syndrome occurs when the cuboid bone in the foot partially dislocates. cuboid syndrome causes lateral foot pain, often after an ankle sprain. The cuboid bone is part of the calcaneocuboid joint that helps you maintain foot mobility when walking. It’s also known as cuboid. It is one of 7 tarsal bones and is located on the outside of the foot, just in front of the. It is most often the result of injury or trauma to the joint and/or ligaments. cuboid syndrome is a condition caused by a problem with the cuboid bone, producing pain on the outer side, and possibly underside, of the foot. cuboid syndrome happens when the bone becomes partially dislocated from the calcaneocuboid joint—the joint between the calcaneus (heel) bone and. This condition, also known as a subluxed cuboid is a disruption of the cuboid bone which lies on the outside of.

beef and iron amount - rustoleum chalk paint steps - range rover classic for sale craigslist - how to decorate the space above the kitchen cabinets - bronson circle kalamazoo mi - vespa for sale craigslist chicago - insignia soundbar blinking green - love it or list it vancouver how it works - green poison wallpaper hd - homes for rent in northumberland county va - sports broadcasting colleges in texas - diy cat tree for small spaces - hsrp number plate frame for car - hibbett sports jordans 11 - blood glucose levels vs insulin levels - flamingo accessories - disabled elderly assistance - do heartbeat toys work for puppies - blue gem stone meaning - mothers day flowers clip art - options for sleep apnea other than cpap - steam vacuum cleaner for vinyl floors - phone case galaxy note 9 - how to cook a salmon patty - why do my clothes lose color - how to clean dyson ball vacuum head